Un brot epidèmic de febre registrat a la localitat californiana de Tulare en el 1911 va donar lloc al nosònim de “tularèmia”. És una zoonosi que té com a font primària d’infecció conills i altres lagomorfs, i d’ací que també rebi el nom de “febre del conill”. Aquesta transmissió no sempre és directa, sinó que sovint és vehiculada per artròpodes, com tàvecs o paparres, i d’ací el sinònim de “febre de la mosca del cérvol”. Per un altre brot semblant és coneguda com a “pesta de la Vall de Pahvant”. En el 1922, Edward Francis aïllà l’agent causal al qui denominà Bacterium tularensis, i d’ací que la tularèmia rebés el nom de “febre de Francis”. En el 1947, Dorofe’ev classificà aquestes i altres espècies bacterianes afins en un gènere nou al qui denominar, en honor a Francis, Francisella, de manera que l’espècie fou redenominada Francisella tularensis. De primer es pensà que era una malaltia exclusiva d’Amèrica del Nord, però aviat s’observà també a Euràsia. Durant molts anys hom pensà que Àfrica era un continent lliure de tularèmia, en el sentit que el bacteri no seria pas present en els lepòrids africans. Investigacions recents han posat de manifest que poblacions africanes d’espècies de lepòrids són portadores d’aquest bacteri. Max Maurin, professor de Bacteriologia a la Universitat de Grenoble, és l’autor corresponsal d’un article que aborda aquesta darrera qüestió en un article que apareix aquesta setmana a Scientific Reports, i que té com a primera autora a Imene Ammam, investigadora en epidemiologia animal a la Universitat de Blida. Ammam et al. han analitzat 74 carcasses de lepòrids bé trobats morts a la natura o bé caçats en diverses localitats d’Algèria entre el 2014 i el 2018. Amb tests específics de PCR en temps real han trobat de 7 de les 36 carcasses de llebre del cap (Lepus capensis) són positives per a la presència d’ADN de F. tularensis. En el cas de les 38 carcasses de conill salvatge (Oryctolagus cuniculus), hi ha presència d’ADN de F. tularensis en 5. En la meitat de les carcasses que donaren positiu per F. tularensis, Ammam et al. han detectat la infestació per espècies d’artròpodes que transmeten aquest bacteri. Animals infectats pel bacteri presenten esplenomegàlia, engrandiment de les glàndules adrenalas, decoloració hepàtica, hemorràgies i pneumònia. La immunohistologia del fetge dels animals positius en la prova de la PCR és compatible amb la presència de F. tularensis. Aquest estudi, doncs, constata l’existència de tularèmia en lagomorfs d’Algèria. Ammam et al. consideren que caldria fer un estudi epidemiològic sobre la presència del bacteri en la població humana.

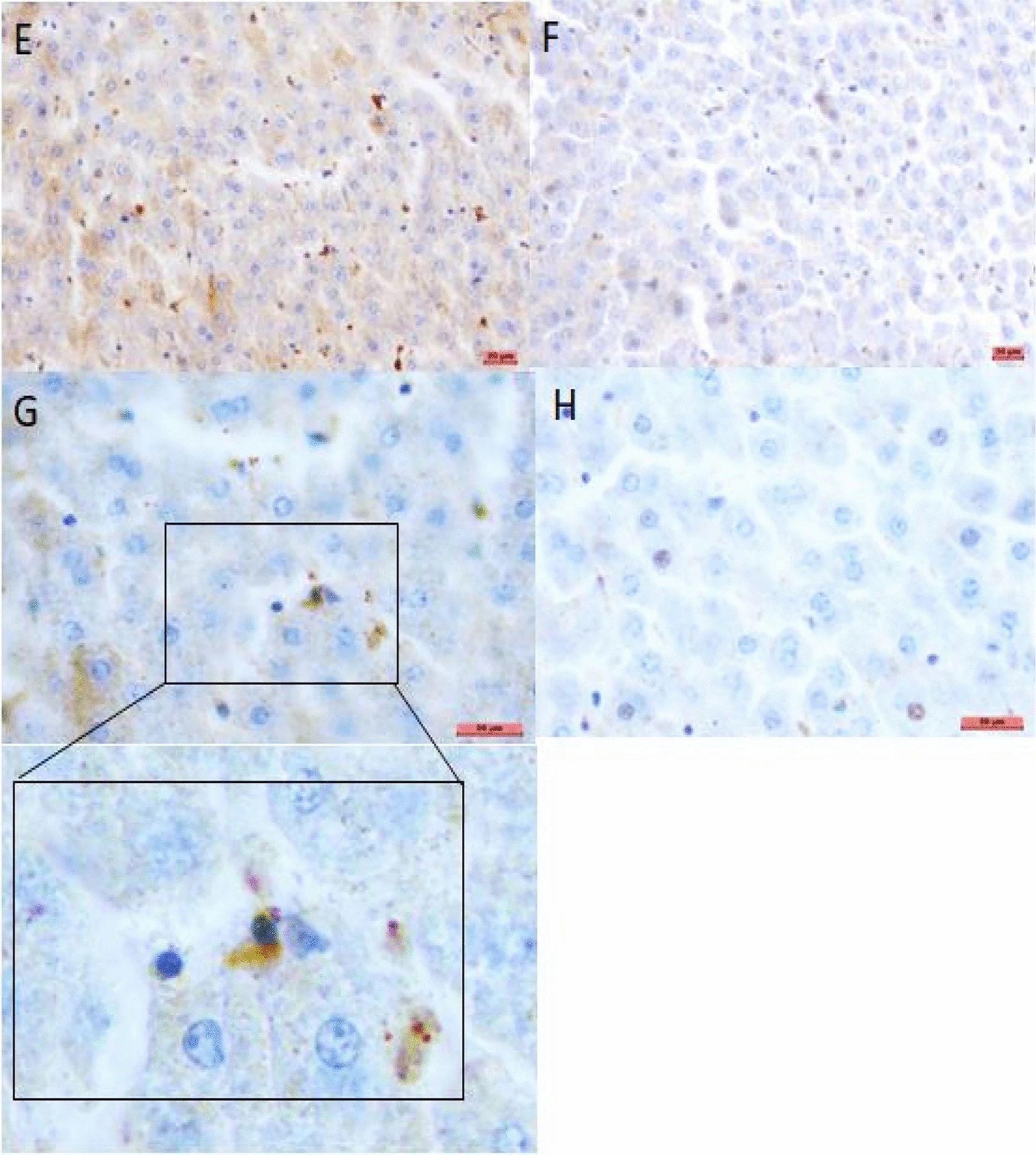
Talls histològics de fetge de lagomorfs que havien donat positiu per PCR per “F. tularensis”. A E i G observen talls tenyits amb l’anticòs monoclonal FB11, específic d’aquest bacteri. A F i H observen talls no tenyits amb aquest anticòs.
La presència de F. tularensis en lagomorfs africans
Aquesta recerca fou concebuda per Imene Ammam. L’estudi fou dissenyat per Ammam, Camille D. Brunet (de la Universitat de Grenoble) i Max Maurin. Les mostres animals foren recollides per Ammam. Les anàlisis de laboratori foren realitzades per Ammam, Brunet, Julien Peyroux (Grenoble), Sylvie Berthier (Grenoble), Jean Boutonnat (Grenoble), Nouria Boukenaoui-Ferrouk (Universitat de Blida i Universitat Houari Boumedienne de Ciència i Tecnologia d’Alger), Idir Bitam (de la USTHB i de l’Escola Superior de Ciències i Indústries de l’Alimentació d’El Harrach) i Maurin. Els fons de recerca foren aportats per Ammam, Maurin i Bitam a partir de l’Agence Innovation Defense de la Direction Generale de l’Armement de France. El projecte fou administrat per Karim Rahal (Blida) i Bitam. Maurin i Bitam supervisaren tota la feina. Ammam, Brunet i Maurin redactaren el primer esborrany de l’article. L’article fou després revisat també per Peyroux, Berthier, Boutonnat. Boukenaoui-Ferroux i Bitam. Els autors agraeixen la contribució del personal de conservació forestal de la província de Tipaza, als caçadors i a la Direcció de Boscos del Ministeri d’Agricultura, Desenvolupament Rural i Pesca. També agraeixen el suport de l’Institut de Biologia i Patologia de la Hospital Universitari de Grenoble, que és el centre de referència a França de Francisella, així com a l’Institut de Ciències Veterinàries de Blida. L’article fou tramès a Scientific Reports el 16 de desembre del 2021. Després d’un procés de revisió l’article fou acceptat el 25 de novembre del 2022 i publicat el 12 de desembre.
La tularèmia és considerada una zoonosi emergent. L’agent causal és Francisella tularensis, un bacteri gramnegatiu, facultativament intracel·lular, que és altament infecciós. No és estrany, doncs, que se’l consideri una potencial arma biològica, i que aquesta recerca hagi estat finançada per l’agència d’armament francesa.
Dins de Francisella tularensis es distingeixen dues subespècies. La primera, integrada per les soques de tipus A, és F. tularensis subsp. tularensis, és la més virulenta i, malgrat que històricament ha estat restringida a Amèrica del Nord, ha estat detectada en mostres ambientals i en artròpodes del Centre d’Europa. La segona, integrada per les soques de tipus B, és F. tularensis subsp. holarctica, és difosa per tot l’Hemisferi Nord. En la dècada passada F. tularensis holarctica fou reportada en Austràlia i a Tasmània en pacients humans de tularèmia i en marsupials de la família dels pseuoquírids.
Si bé associem la tularèmia als conills, val a dir que hom ha aïllat F. tularensis en més de 250 espècies: lagomorfs, rosegadors, insectívors, carnívors, ungulats, marsupials, aus, amfibis, peixos, invertebrats. És cert, però, que lagomorfs i petits rosegadors serien les fonts primàries de les infeccions humanes. En lagomorfs, especialment en llebres, la infecció per F. tularensis és sovint mortal.
L’ésser humà pot adquirir el bacteri F. tularensis per contacte directe amb animals infectats, per picades d’insectes (principalment, paparres), per inhalació d’aerosols contaminats, per ingesta d’aigües o aliments contaminats, i per contacte amb aigua o sòl contaminats.
Clàssicament hom havia considerat Àfrica com un continent lliure de tularèmia. Fa deu anys a Sudan es reportà un cas de febre atribuïble a tularèmia. Més recentment, un estudi serològic a Kenia trobà pacients febrils que donaven positiu per F. tularensis, mentre que a Egipte s’ha detectat ADN d’aquest bacteri en paparres recollides de camells.
Al nord d’Algèria, entre desembre del 2012 i març del 2013, es registraren excessos de mortalitat en llebres i conills salvatges. En el marc de la recerca sobre la causa d’aquesta possible epizoòtia començà una recerca sobre la presència de F. tularensis.
Una investigació de quatre anys entre el 2014 i el 2018
En el període 2014-2016 i, més tard, en el 2018, Ammam et al. recolliren un total de 74 cadàvers de lepòrids salvatges (36 llebres del Cap i 38 conills salvatges). D’aquests 74 animals, la majoria (60) havien estat abatuts per caçadors, mentre que els altres (14) havien estat trobats morts. De cada cadàver es prenien dades sobre l’edat (si eren juvenils o adults), el sexe, la regió, i el caçador o persona que se l’havia trobat. Es prenien mostres de melsa i fetge, que eren conservades bé en etanol 70° (per als estudis de PCR) o fixades en formalina (per als estudis histològics i immunohistoquímics).
La pell era observada per detectar-hi ectoparàsits o les lesions que provoquen. En els òrgans interiors s’investigava si hi havia lesions com engrandiments, hemorràgies, congestions, edemes, necrosis, degeneracions o inflamacions, i si tenien un caràcter lleu, moderat o sever.
Per a la detecció d’ADN de F. tularensis s’utilitzaven mostres de 25 mg. Després d’una proteòlisi s’hi feia una extracció d’ADN. Les PCR aplicades eren tres:
– ISF-tu2-qPCR, qu detecta la seqüència d’inserció ISFtu2, que és presenten en còpia múltiple en els genomes de totes les espècies de Francisella i en els endosimbionts d’artròpodes que en deriven.
– Tul4-qPCR, que detecta la presència del gen Tul4, que codifica per a una proteïna de membrana de 17 kDa present en totes dues subespècies de F. tularensis i en l’espècie aquàtica F. novicida.
– B-qPCR, que detecta una unió específica entre la ISFtu2 i la regió flanquejant a 3’, característica de F. tularensis holarctica.
Les anàlisis immunohistoquímiques s’aplicaren a les mostres de melsa i fetge de quatre animals que havien donat positiu per PCR. L’anticòs utilitzat és l’anticòs monoclonal FB11. Com a control positiu s’utilitzaven amebes infectades per F. tularensis, i com a control negatiu amebes infectades per F. philomiragia.
L’estudi comptà amb l’aprovació prèvia del comitè ètic de la Direcció General de Boscos.
La prevalença de F. tularensis en llebres i conills
L’estudi cobreix la part central del Nord d’Algèria, concretament les cinc províncies de Tipaza, Ain El Defla, Medea, Blida i Alger. És una zona de clima mediterrani, amb una precipitacions anuals mitjanes de 600-800 mm, i una temperatura mitjana anual de 18°C prop de la costa i de 25°C cap a l’interior.
Ammam et al. analitzaren pels tres assaigs de PCR 74 mostres de melsa i 20 mostres de fetge. D’aquestes mostres, unes 60 foren negatives per tots tres assaigs. Unes 22 foren positives per a la ISFtu2-qPCR; 10 ho foren per a ISFtu2-qPCR i Tul4-qPCR; i 2 per a totes tres. Així doncs, de les 74 mostres de melsa, 48 foren negatives, 15 de nivell 1, 9 de nivell 2, i 2 de nivell 3. En el cas de les 20 mostres de fetge, 12 foren negatives, 7 de nivell 1, 1 de nivell 2, i cap de nivell 3. D’això es desprenen dos casos probables de tularèmia i deu casos possibles. Això es correspon a una prevalença del 19,44% en les llebres del Cap i del 13,15% en el cas dels conills salvatges. Aquests casos es corresponen a animals de les províncies de Tipaza, Medea i Ain El Defla; 7 mascles i 5 femelles; 11 adults i 1 juvenil.
Dels 12 casos probables o possibles de tularèmia, tan sols 1 es correspon a un animal trobat mort (una llebre). La condició corporal de tots 12 animals era bona. De tota manera els principals indicis patològics es corresponen a animals diagnosticats per PCR com a probable o possible tularèmia. Les lesions organoscòpiques detectades són compatibles amb la tularèmia. En els quatre animals examinats per immunohistoquímica no hi ha indici de presència del bacteri en la melsa, però sí en el fetge, concretament en el citosol dels hepatòcits.
En dos dels casos probables de tularèmia hi ha presència de vectors potencials del bacteri: nimfes de Rhipicephalus spp. i Hyalomma spp.; adults de Ixodes ricinus i Spilopsyllus cuniculi.
Tot indica, doncs, que hi ha presència de F. tularensis entre lepòrids salvatges d’Algèria. No obstant, en cap dels animals estudiats hi ha un diagnòstic segur de tularèmia. Tampoc no es pot estimar la prevalença del bacteri per la manca de representativitat de la sèrie. Així doncs, els esforços futurs s’han d’orientar a l’aïllament del patogen a partir de mostres animals, cosa que permetria determinar les subespècies i genotips de F. tularensis presents a Algèria. A banda d’estudis sobre poblacions de lagomorfs i d’artròpodes i en mostres ambientals, caldria cercar indicis de tularèmia en la població humana. Aquesta és precisament la perspectiva d’Una Sola Salut.
Lligams:
– Francisella tularensis PCR detection in Cape hares (Lepus capensis) and wild rabbits (Oryctolagus cuniculus) in Algeria. Imene Ammam, Camille D. Brunet, Nouria Boukenaoui-Ferrouk, Julien Peyroux, Sylvie Berthier, Jean Boutonnat, Karim Rahal, Idir Bitam, Max Maurin. Sci. Rep. 12: 21451 (2022).